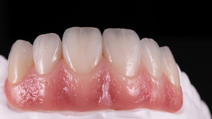
White & Pink Aesthetics for Full Arches
White & Pink Aesthetics for Full Arches
2-Day Intensive Course for Dental Technicians / Ceramists
Instructor: Nico Squicciarini
Course Venue: SmileClinic Advanced Implant Center Gdańsk / Poland
Language: English
Max number of participants: 7
Price: 1.400€ / 5900 PLN
Date: 1-2 August .2026
Course Description:
This 2-day intensive course is designed for dental ceramists and technicians who aim to master
the art of creating natural esthetics in full-arch restorations, focusing on both white (ceramic) and
pink (gingival) components.
Under the guidance of Nico Squicciarini, participants will explore advanced layering techniques,
texture and color characterization, and artistic approaches that bring life and individuality to full-arch
prostheses.
The course combines theory, live demonstrations, and hands-on sessions, providing a
deep understanding of ceramic materials, surface finishing, and esthetic balance between
teeth and soft tissues. Participants will work on full-arch models, learning how to mimic the
natural harmony of dentogingival transitions using high-end ceramic materials. This course is
ideal for technicians involved in advanced restorative and implant-supported prosthetics who
want to elevate their craftsmanship and artistic vision in comprehensive full-arch rehabilitation.
What You Will Learn
• Principles of white and pink esthetics in full-arch restorations
• Understanding light dynamics, color, and texture
• Gingival ceramics: layering and shade management
• Morphology and characterization of ceramic restorations
• Integration of esthetics with functional design
• Finishing and polishing techniques for natural results
• Hands-on training: full-arch pink and white ceramic layering
• Artistic perception and individual expression in dental ceramics
To register you must fill out the application form and pay the fee for the course – only payment guarantees you a place on the course.
If you notify us of your desire to cancel by 1 July 2026 we will refund you the full amount minus PLN 200 plus Vat. After this time, no cancellations will be accepted.
Vat invoices are drawn up on the basis of paid amount.



